آثار (كورونا) في جسم المتعافين تثير القلق: "تلف في الرئة لأسابيع"
وجد باحثون أن مرضى تم نقلهم إلى المستشفى للعلاج من (كورونا) لا يزالون يعانون من تلف في الرئة وضيق في التنفس وسعال بعد أسابيع من خروجهم منها.
ونقلت صحيفة (الحرة) نقلاً عن (الغارديان) البريطانية عن الباحثين قولهم إن "الآثار الطويلة والباقية لفيروس (كورونا) على الصحة البدنية تثير القلق، حتى أولئك الذين عانوا من أعراض أو تأثيرات معتدلة، أبلغوا عن أعراض استمرت لعدة أسابيع أو حتى أشهر بعد زوال العدوى الأولية".
وأصدر باحثون في النمسا النتائج الأولية لدراسة تتبعت تعافي المرضى الذين تم نقلهم إلى المستشفى مصابين بعدوى فيروس (كورونا).
وتم إجراء الاختبارات، بما في ذلك الفحوصات وقياسات وظائف الرئة والفحوصات السريرية على مرحلتين، الأولى بعد ستة أسابيع من الخروج من المستشفى، والثانية بعد 12 أسبوعا.
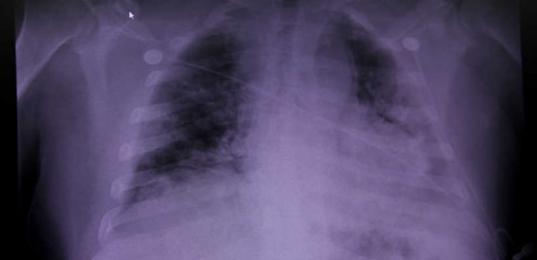
وكشفت النتائج أنه بعد ستة أسابيع من مغادرة المستشفى، لا يزال 88٪ من المرضى تظهر عليهم علامات تلف في الرئة في صور الأشعة المقطعية، وهي تشبه البقع على زجاج أرضي، و47٪ منهم يعانون من ضيق في التنفس، وفي 12 أسبوعا، كانت هذه الأرقام 56٪ و 39٪ على التوالي".
وقالت الطبيبة سابين ساهانيك من عيادة الجامعة في إنسبروك، وهي عضو ضمن الفريق الذي قام بالدراسة، إن "الناجين من كورونا يعانون من ضعف مستمر في الرئة بعد أسابيع من الشفاء".
وأوضحت أن المسار يتجه نحو التعافي، مضيفة أنه "بمرور الوقت، يمكن اكتشاف تحسن معتدل، والنتائج تشير إلى أهمية الرعاية والمتابعة المنظمة للذين عانوا من عدوى شديدة".
وتشير النتائج أيضا إلى أن التعافي من (كورونا) يمكن أن يأخذ وقتا طويلا، لكن لا يبدو أن المرض يؤدي إلى زيادة تندب الرئة بمرور الوقت.
وتابع البحث، المقرر تقديمه في المؤتمر الدولي للجمعية الأوروبية للجهاز التنفسي، صحة 86 مريضا بفيروس (كورونا) بعد خروجهم من المستشفى. وكان ثمانية عشر من هؤلاء المرضى في العناية المركزة.
وبلغ متوسط عمر المرضى 61 عاما، وأكثر من 60٪ من الذكور، ونحو 50٪ من المدخنين الحاليين أو السابقين، و65٪ يعانون من زيادة الوزن أو السمنة.
ووجد الفريق البحثي أن المشاكل الصحية المستمرة كانت موجودة لدى المرضى الذين كانوا في العناية المركزة والذين لم يدخلوها أيضا.
وبينما كان تلف الرئة أكثر شدة عند المرضى في العناية المركزة، يقول الفريق إن هؤلاء المرضى أظهروا معدل تحسن مماثل في تلف الرئة بمرور الوقت، مثل أولئك الذين لم يكونوا في العناية المركزة.
ولم يتمكن الفريق من معرفة ما إذا كان المرضى قد عانوا من مشاكل رئوية سابقا، وقالوا إنهم لاحظوا تحسنا في صور الأشعة ووظيفة الرئة بمرور الوقت.
وتستمر الدراسة، عبر إجراء مزيد من الفحوصات والاختبارات بعد 24 أسبوعا من الخروج من المستشفى، لمزيد من المراقبة الصحية للناجين.
ونقلت صحيفة (الحرة) نقلاً عن (الغارديان) البريطانية عن الباحثين قولهم إن "الآثار الطويلة والباقية لفيروس (كورونا) على الصحة البدنية تثير القلق، حتى أولئك الذين عانوا من أعراض أو تأثيرات معتدلة، أبلغوا عن أعراض استمرت لعدة أسابيع أو حتى أشهر بعد زوال العدوى الأولية".
وأصدر باحثون في النمسا النتائج الأولية لدراسة تتبعت تعافي المرضى الذين تم نقلهم إلى المستشفى مصابين بعدوى فيروس (كورونا).
وتم إجراء الاختبارات، بما في ذلك الفحوصات وقياسات وظائف الرئة والفحوصات السريرية على مرحلتين، الأولى بعد ستة أسابيع من الخروج من المستشفى، والثانية بعد 12 أسبوعا.
وكشفت النتائج أنه بعد ستة أسابيع من مغادرة المستشفى، لا يزال 88٪ من المرضى تظهر عليهم علامات تلف في الرئة في صور الأشعة المقطعية، وهي تشبه البقع على زجاج أرضي، و47٪ منهم يعانون من ضيق في التنفس، وفي 12 أسبوعا، كانت هذه الأرقام 56٪ و 39٪ على التوالي".
وقالت الطبيبة سابين ساهانيك من عيادة الجامعة في إنسبروك، وهي عضو ضمن الفريق الذي قام بالدراسة، إن "الناجين من كورونا يعانون من ضعف مستمر في الرئة بعد أسابيع من الشفاء".
وأوضحت أن المسار يتجه نحو التعافي، مضيفة أنه "بمرور الوقت، يمكن اكتشاف تحسن معتدل، والنتائج تشير إلى أهمية الرعاية والمتابعة المنظمة للذين عانوا من عدوى شديدة".
وتشير النتائج أيضا إلى أن التعافي من (كورونا) يمكن أن يأخذ وقتا طويلا، لكن لا يبدو أن المرض يؤدي إلى زيادة تندب الرئة بمرور الوقت.
وتابع البحث، المقرر تقديمه في المؤتمر الدولي للجمعية الأوروبية للجهاز التنفسي، صحة 86 مريضا بفيروس (كورونا) بعد خروجهم من المستشفى. وكان ثمانية عشر من هؤلاء المرضى في العناية المركزة.
وبلغ متوسط عمر المرضى 61 عاما، وأكثر من 60٪ من الذكور، ونحو 50٪ من المدخنين الحاليين أو السابقين، و65٪ يعانون من زيادة الوزن أو السمنة.
ووجد الفريق البحثي أن المشاكل الصحية المستمرة كانت موجودة لدى المرضى الذين كانوا في العناية المركزة والذين لم يدخلوها أيضا.
وبينما كان تلف الرئة أكثر شدة عند المرضى في العناية المركزة، يقول الفريق إن هؤلاء المرضى أظهروا معدل تحسن مماثل في تلف الرئة بمرور الوقت، مثل أولئك الذين لم يكونوا في العناية المركزة.
ولم يتمكن الفريق من معرفة ما إذا كان المرضى قد عانوا من مشاكل رئوية سابقا، وقالوا إنهم لاحظوا تحسنا في صور الأشعة ووظيفة الرئة بمرور الوقت.
وتستمر الدراسة، عبر إجراء مزيد من الفحوصات والاختبارات بعد 24 أسبوعا من الخروج من المستشفى، لمزيد من المراقبة الصحية للناجين.

التعليقات