شاهد: طبيب من غزة ينجح بإجراء عملية جراحية عالمية ونوعية في مستشفى القدس
رام الله - دنيا الوطن
تمكن الفريق الطبي في مستشفى القدس، برئاسة الدكتور محمد كلوب استشاري جراحة الأوعية الدموية والجراحة الدقيقة، من إجراء عملية جراحية عالمية ونوعية لأول مرة في فلسطين وذلك حسب المعايير المتعارف بها عالمياً في ظروف هذا المرض، حيث خضع المريض عطا حمودة والبالغ من العمر 63 عام من سكان شمال قطاع غزة، لعملية إزالة تضخم شريان الابهر البطني مع إزالة الوصلة المعوية النازفة الاثنى عشر، وذلك في مستشفى القدس التابع لجمعية الهلال الأحمر الفلسطيني.
وقال الدكتور محمد كلوب في مؤتمر صحفي عقده في قاعة المؤتمرات الكبرى بجمعية الهلال الأحمر الفلسطيني، برفقة كلا من دكتور بشار مراد المدير التنفيذي للجمعية في المحافظات الجنوبية، والدكتور وحيد قديح المدير الطبي لمستشفى القدس، اليوم الأحد، بان المريض كان يُعاني من نزيف معوي حاد من الجهاز الهضمي العلوي والسفلي بالإضافة الى حدوث إغماء وغياب عن الوعي وبحالة هبوط حاد في الدورة الدموية.
وأضاف كلوب أنه تم نقل المريض إلى مستشفى القدس التابعة لجمعية الهلال الأحمر الفلسطيني، لوجود معدات عالية التقنية من أجل إجراء العملية هناك، وتم نقله إلي قسم الطوارئ وتعويضه بالدم والسوائل المطلوبة ونقله لغرفة العمليات، حيث كانت طواقم التخدير والعناية المركزة والممرضين والتخدير والعناية المركزة على أتم الاستعداد.
وأشار كلوب الى أن العملية المذكورة أجريت بتاريخ 26/6/2020، وقد استمرت لمدة 7 ساعات تم استخدام فيها أعلى التقنيات العالمية حيث تم إجراء التبريد فيها موضعي للكلية وتبريد كامل للجسم واستخدام مادة لاصقة في مناطق الوصل لتفادي النزيف.
وتم التحكم بضغط الدم عبر أجهزة مركزية داخل الشرايين، وتم إغلاق الجرح ونقل المريض للعناية المركزة وخرج المريض في اليوم الخامس من العناية المركزة إلي قسم الجراحة لاستكمال العلاج.
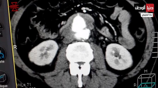
وأضاف أنه تم نقل أكثر من 20 وحدة دم للمريض خلال العملية، وأن المريض خضع لعدة كورسات من المضادات الحيوية الواسعة الانتشار ومن ثم أجريت له صورة مقطعية تبين هدم وجود أي مضاعفات خلال فترة التعافي التي تمت تحت المراقبة الطبية وخرج من المستشفى بعد أسبوعين من إجراء العملية في أتم صحة وبدون مضاعفات.
من ناحيته قال الدكتور وحيد قديح، المدير الطبي لمستشفى القدس، بان المستشفى قد سخرت كافة إمكانياتها من اجل ضمان نجاح العملية، سواء كان ذلك عبر الأجهزة الحديثة المتوفرة في المستشفى، أو من خلال فريق العمل المتخصص ذو الكفاءة والخبرة الواسعة.
واضاف بان هذه العملية الجراحية النوعية يجريها طاقم جراحة الأوعية الدموية والجراحة الدقيقة في مستشفى القدس، والتي تبين مدى ندرة نجاحها، والتي نجا منها عبر العالم أقل من عشرين مريض خلال 200 عام مضت.
من جانبٍ أخر، قال الدكتور بشار مراد المدير التنفيذي لجمعية الهلال الأحمر الفلسطيني في قطاع غزة، ان رغم الإمكانيات التي يتمتع بهاد مستشفى القدس، الا ان هناك لازالت العوائق موجودة في طريق الطواقم الطبية، تتمثل هذه المعيقات في انقطاع التيار الكهربائي المستمر، الامر الذي يرهق عمل الأجهزة الطبية التي قد تحتاج الى تصليحات وصيانة مستمرة، على اثرها يحدث عطل في بعض قطع الغيار الغير متوفرة في قطاع غزة، مما يستدعي علينا التنسيق لإدخالها لغزة وهذا الامر يستغرق أسابيع مما يعرقل عمل الأجهزة والطواقم الطبية .
أما المريض عطا حمودة الذي أجريت له العملية قد أعرب عن بالغ شكره لطاقم مستشفى القدس وللدكتور محمد كلوب، على ما بذلوه من اهتمام ورعاية، خلال فترة علاجه ومكوثه في المستشفى، مشيرا إلى انه تلقى خدمات صحية على درجة عالية من الإمكانيات، وتعامل معه فريق ذو اختصاص وخبرة، ساهمت في سرعة استجابته للشفاء بفضل الله تعالى.
وتجدر الإشارة إلى انه تم تسجيل أول حالة مشابهة في العام 1843 في المملكة المتحدة ومن حينها إلى اليوم تم تسجيل 250 حالة على مستوى العالم.
ويتراوح معدل الوفيات نتيجة لوجود مثل هذه الحالات ما بين 80% الى100% وحتى مع وجود تدخل جراحي لمعالجة المشكلة فقد تبلغ نسبة الوفيات ما يقارب 63% ويعزى ذلك إلى صعوبة التشخيص والتدهور السريع للحالة.
تمكن الفريق الطبي في مستشفى القدس، برئاسة الدكتور محمد كلوب استشاري جراحة الأوعية الدموية والجراحة الدقيقة، من إجراء عملية جراحية عالمية ونوعية لأول مرة في فلسطين وذلك حسب المعايير المتعارف بها عالمياً في ظروف هذا المرض، حيث خضع المريض عطا حمودة والبالغ من العمر 63 عام من سكان شمال قطاع غزة، لعملية إزالة تضخم شريان الابهر البطني مع إزالة الوصلة المعوية النازفة الاثنى عشر، وذلك في مستشفى القدس التابع لجمعية الهلال الأحمر الفلسطيني.
وقال الدكتور محمد كلوب في مؤتمر صحفي عقده في قاعة المؤتمرات الكبرى بجمعية الهلال الأحمر الفلسطيني، برفقة كلا من دكتور بشار مراد المدير التنفيذي للجمعية في المحافظات الجنوبية، والدكتور وحيد قديح المدير الطبي لمستشفى القدس، اليوم الأحد، بان المريض كان يُعاني من نزيف معوي حاد من الجهاز الهضمي العلوي والسفلي بالإضافة الى حدوث إغماء وغياب عن الوعي وبحالة هبوط حاد في الدورة الدموية.
وأضاف كلوب أنه تم نقل المريض إلى مستشفى القدس التابعة لجمعية الهلال الأحمر الفلسطيني، لوجود معدات عالية التقنية من أجل إجراء العملية هناك، وتم نقله إلي قسم الطوارئ وتعويضه بالدم والسوائل المطلوبة ونقله لغرفة العمليات، حيث كانت طواقم التخدير والعناية المركزة والممرضين والتخدير والعناية المركزة على أتم الاستعداد.
وأشار كلوب الى أن العملية المذكورة أجريت بتاريخ 26/6/2020، وقد استمرت لمدة 7 ساعات تم استخدام فيها أعلى التقنيات العالمية حيث تم إجراء التبريد فيها موضعي للكلية وتبريد كامل للجسم واستخدام مادة لاصقة في مناطق الوصل لتفادي النزيف.
وتم التحكم بضغط الدم عبر أجهزة مركزية داخل الشرايين، وتم إغلاق الجرح ونقل المريض للعناية المركزة وخرج المريض في اليوم الخامس من العناية المركزة إلي قسم الجراحة لاستكمال العلاج.
وأضاف أنه تم نقل أكثر من 20 وحدة دم للمريض خلال العملية، وأن المريض خضع لعدة كورسات من المضادات الحيوية الواسعة الانتشار ومن ثم أجريت له صورة مقطعية تبين هدم وجود أي مضاعفات خلال فترة التعافي التي تمت تحت المراقبة الطبية وخرج من المستشفى بعد أسبوعين من إجراء العملية في أتم صحة وبدون مضاعفات.
من ناحيته قال الدكتور وحيد قديح، المدير الطبي لمستشفى القدس، بان المستشفى قد سخرت كافة إمكانياتها من اجل ضمان نجاح العملية، سواء كان ذلك عبر الأجهزة الحديثة المتوفرة في المستشفى، أو من خلال فريق العمل المتخصص ذو الكفاءة والخبرة الواسعة.
واضاف بان هذه العملية الجراحية النوعية يجريها طاقم جراحة الأوعية الدموية والجراحة الدقيقة في مستشفى القدس، والتي تبين مدى ندرة نجاحها، والتي نجا منها عبر العالم أقل من عشرين مريض خلال 200 عام مضت.
من جانبٍ أخر، قال الدكتور بشار مراد المدير التنفيذي لجمعية الهلال الأحمر الفلسطيني في قطاع غزة، ان رغم الإمكانيات التي يتمتع بهاد مستشفى القدس، الا ان هناك لازالت العوائق موجودة في طريق الطواقم الطبية، تتمثل هذه المعيقات في انقطاع التيار الكهربائي المستمر، الامر الذي يرهق عمل الأجهزة الطبية التي قد تحتاج الى تصليحات وصيانة مستمرة، على اثرها يحدث عطل في بعض قطع الغيار الغير متوفرة في قطاع غزة، مما يستدعي علينا التنسيق لإدخالها لغزة وهذا الامر يستغرق أسابيع مما يعرقل عمل الأجهزة والطواقم الطبية .
أما المريض عطا حمودة الذي أجريت له العملية قد أعرب عن بالغ شكره لطاقم مستشفى القدس وللدكتور محمد كلوب، على ما بذلوه من اهتمام ورعاية، خلال فترة علاجه ومكوثه في المستشفى، مشيرا إلى انه تلقى خدمات صحية على درجة عالية من الإمكانيات، وتعامل معه فريق ذو اختصاص وخبرة، ساهمت في سرعة استجابته للشفاء بفضل الله تعالى.
وتجدر الإشارة إلى انه تم تسجيل أول حالة مشابهة في العام 1843 في المملكة المتحدة ومن حينها إلى اليوم تم تسجيل 250 حالة على مستوى العالم.
ويتراوح معدل الوفيات نتيجة لوجود مثل هذه الحالات ما بين 80% الى100% وحتى مع وجود تدخل جراحي لمعالجة المشكلة فقد تبلغ نسبة الوفيات ما يقارب 63% ويعزى ذلك إلى صعوبة التشخيص والتدهور السريع للحالة.

التعليقات