يسحق الرئة.. طبيب يكشف أسرارا قاسية عن وضع مرضى فيروس (كورونا)
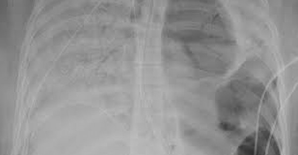
أكد البروفيسور "ماورو جياكا" من كلية "كينجز كوليدج" في لندن إن فيروس كورونا المستجد يترك بعض المرضى يعانون من رئتين متضررتين بشدة، حتى تصل لعدم قدرة الخبراء بالطب على تمييزها على أنها عضو.
وأضاف إن الفيروس يسبب اضطرابًا كاملًا في بنية الرئة ويمكن أن يسبب تجلط الدم أي تكوين جلطات دموية، بحسب ما نشرت (صدى البلد) عن صحيفة "ديلي ميرور" البريطانية.
وأشار :" في بعض الأضواء لا يمكنك حتى أن تميز أن هذا العضو هو رئة"، وفي حديثه عن إمكانية حدوث موجة ثانية، قال الأستاذ "جياكا" إنه سوف يحدث ارتفاعًا آخر في أعداد الإصابة بفيروس كورونا في مختلف الدول.
في الشهر الماضي ، نشرت صور لرئتي امرأة سليمة، ولكن في الصورة بعد الإصابة بالفيروس المستجد اتضح تدمير رئتيها، وقامت المريضة، التي كانت في العشرينات من عمرها، بإزالة العضو الحيوي في عملية زرع رئة مزدوجة نادرة بعد أن أصيبت بمرض مهدّد للحياة بسبب فيروس كوفيد -19 .
ووفقًا للمستشفى تعتبر هذه أول عملية زرع مزدوجة من نوعها في الولايات المتحدة حيث تواصل الدولة محاربة الوباء، وقد نشر الجراحون تفاصيل الحالة من أجل إظهار الأطباء الآخرين في جميع أنحاء العالم أن عمليات زرع الرئة يمكن أن تكون خيارًا قابلًا للتطبيق لبعض مرضى فيروس كورونا المصابين بأعراض شديدة.
وكانت الشابة من أصل اسباني قد نجت من العملية، وقال المستشفى إنها أمضت ستة أسابيع على جهاز دعم الحياة في العناية المركزة عندما أصبح هناك حاجة إلى تدخل جذري واضح.
وأضاف إن الفيروس يسبب اضطرابًا كاملًا في بنية الرئة ويمكن أن يسبب تجلط الدم أي تكوين جلطات دموية، بحسب ما نشرت (صدى البلد) عن صحيفة "ديلي ميرور" البريطانية.
وأشار :" في بعض الأضواء لا يمكنك حتى أن تميز أن هذا العضو هو رئة"، وفي حديثه عن إمكانية حدوث موجة ثانية، قال الأستاذ "جياكا" إنه سوف يحدث ارتفاعًا آخر في أعداد الإصابة بفيروس كورونا في مختلف الدول.
وأوضح:"أعتقد أن السؤال الحقيقي هو هل سيكون لدينا عدد من الانفجارات ثم موجة ثانية أم أننا سنحصل فقط على موجة ثانية".
في الشهر الماضي ، نشرت صور لرئتي امرأة سليمة، ولكن في الصورة بعد الإصابة بالفيروس المستجد اتضح تدمير رئتيها، وقامت المريضة، التي كانت في العشرينات من عمرها، بإزالة العضو الحيوي في عملية زرع رئة مزدوجة نادرة بعد أن أصيبت بمرض مهدّد للحياة بسبب فيروس كوفيد -19 .
ووفقًا للمستشفى تعتبر هذه أول عملية زرع مزدوجة من نوعها في الولايات المتحدة حيث تواصل الدولة محاربة الوباء، وقد نشر الجراحون تفاصيل الحالة من أجل إظهار الأطباء الآخرين في جميع أنحاء العالم أن عمليات زرع الرئة يمكن أن تكون خيارًا قابلًا للتطبيق لبعض مرضى فيروس كورونا المصابين بأعراض شديدة.
وكانت الشابة من أصل اسباني قد نجت من العملية، وقال المستشفى إنها أمضت ستة أسابيع على جهاز دعم الحياة في العناية المركزة عندما أصبح هناك حاجة إلى تدخل جذري واضح.

التعليقات