صور صادمة لرئة فتاة تعافت من (كورونا).. كيف تصرف الأطباء؟
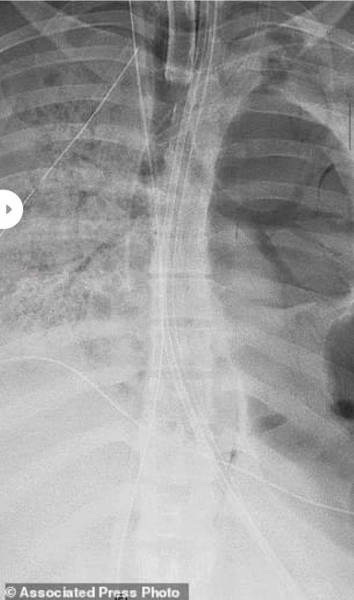
نشرت صحيفة "ديلي ميل" البريطانية صورًا صادمة لرئة لفتاة إسبانية تعافت من فيروس كورونا، إذ أُجري لها عملية جراحيه دقيقة لاستبدالهما كي تتمكن من العيش بطريقة طبيعية.
وذكرت الصحيفة - كما نقلت "مصراوي"- أن بعض الحالات المتعافية من كورونا تحتاج إلى عملية زرع رئة؛ لأن الفيروس يهاجمها بطريقة عنيفة ويحدث بها ثقوب تعيق من عملية التنفس.
وأجرى الجراحون للفتاة العشرينية عملية زرع الرئة بشيكاغو بعد تعافيها من فيروس كورونا، بعد أن ظلت على جهاز التنفس الصناعي وجهاز القلب والرئة لمدة شهرين قبل الجراحة.
وقال الدكتور أنكيت بهارات استشاري أمراض الرئة والرعاية الحرجة، إن اجراء العملية استمر لمدة 10 ساعات لأن الفيروس ترك رئتيها مملوءتين بالثقوب وكاد يقترب من جدار القفص الصدري، وأن هذه العملية هي فرصتها الوحيدة في البقاء.
وذكر المدير الطبي لبرنامج زرع الرئة في مستشفى نورث وسترن، أنه يتوقع أن تتعافى الفتاة بالكامل في وقت قريب.

على الرغم من أن COVID-19 كان يهاجم رئة كبار السن والمرضى المزمنين إلا أنه أصبح لا يفرق بين الأشخاص، لأن 40 في المائة من المصابين بالمستشفى تحت سن 55 عاما.
وقالت الدكتورة بيث مالسين أخصائية أمراض الرئة والرعاية الحرجة والتي ساعدة في رعاية الفتاة، إنها كانت أكثر المصابين الذين عانوا مع المرض في المستشفى كلها.

وأضافت أن معدل الوفيات بين الشباب المصابين بفيروس كورونا منخفض، الأمر الذي سبب حيرة الأطباء حول إصابة الفتاة بالفيروس وتدمير رئتها بهذا الشكل.
وأرجع فريق البحث متعدد التخصصات في المستشفى أن هناك العديد من العوامل التي تتحكم في إصابة الشباب ونسبة خطورة الفيروس في الجسم.
وكان من ضمن العوامل التي توصل لها العلماء هي عامل الوراثة، حيث أشارت الأبحاث إلى أن الحمض النووي ونوع الدم يتحكم بشكل كبير في نسبة الإصابة.
ويدخل فيروس كورونا إلى الخلايا المبطنة للحلق والقصبة الهوائية والرئة، وينتج الفيروس كميات ضخمة داخل الرئة تصيب المزيد من الخلايا التي تسبب الالتهاب الرئوي، وبعدها تبدأ الحويصلات الهوائية بالامتلاء وتسبب ضيق التنفس وصعوبته ويحتاج الجسم وقتها إلى التنفس الصناعي.
وذكرت الصحيفة - كما نقلت "مصراوي"- أن بعض الحالات المتعافية من كورونا تحتاج إلى عملية زرع رئة؛ لأن الفيروس يهاجمها بطريقة عنيفة ويحدث بها ثقوب تعيق من عملية التنفس.
وأجرى الجراحون للفتاة العشرينية عملية زرع الرئة بشيكاغو بعد تعافيها من فيروس كورونا، بعد أن ظلت على جهاز التنفس الصناعي وجهاز القلب والرئة لمدة شهرين قبل الجراحة.
وقال الدكتور أنكيت بهارات استشاري أمراض الرئة والرعاية الحرجة، إن اجراء العملية استمر لمدة 10 ساعات لأن الفيروس ترك رئتيها مملوءتين بالثقوب وكاد يقترب من جدار القفص الصدري، وأن هذه العملية هي فرصتها الوحيدة في البقاء.
وذكر المدير الطبي لبرنامج زرع الرئة في مستشفى نورث وسترن، أنه يتوقع أن تتعافى الفتاة بالكامل في وقت قريب.

على الرغم من أن COVID-19 كان يهاجم رئة كبار السن والمرضى المزمنين إلا أنه أصبح لا يفرق بين الأشخاص، لأن 40 في المائة من المصابين بالمستشفى تحت سن 55 عاما.
وقالت الدكتورة بيث مالسين أخصائية أمراض الرئة والرعاية الحرجة والتي ساعدة في رعاية الفتاة، إنها كانت أكثر المصابين الذين عانوا مع المرض في المستشفى كلها.

وأضافت أن معدل الوفيات بين الشباب المصابين بفيروس كورونا منخفض، الأمر الذي سبب حيرة الأطباء حول إصابة الفتاة بالفيروس وتدمير رئتها بهذا الشكل.
وأرجع فريق البحث متعدد التخصصات في المستشفى أن هناك العديد من العوامل التي تتحكم في إصابة الشباب ونسبة خطورة الفيروس في الجسم.
وكان من ضمن العوامل التي توصل لها العلماء هي عامل الوراثة، حيث أشارت الأبحاث إلى أن الحمض النووي ونوع الدم يتحكم بشكل كبير في نسبة الإصابة.
ويدخل فيروس كورونا إلى الخلايا المبطنة للحلق والقصبة الهوائية والرئة، وينتج الفيروس كميات ضخمة داخل الرئة تصيب المزيد من الخلايا التي تسبب الالتهاب الرئوي، وبعدها تبدأ الحويصلات الهوائية بالامتلاء وتسبب ضيق التنفس وصعوبته ويحتاج الجسم وقتها إلى التنفس الصناعي.

التعليقات