غيوم غريبة.. أطباء ألمان يرصدون علامات خطيرة لدى المصابين بفيروس كورونا
رصد أطباء ألمان علامات خطيرة لدى مصابي فيروس كورونا المستجد في البلاد، تتمثل بظهور غيوم غريبة في الرئة ، أثناء القيام بالتجارب الاستكشافية الأولى لرصد سلوك فيروس كورونا المسبب لمرض "كوفيد 19"، والتي استمرت لأسابيع.
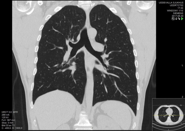
وبحسب ما نقلته وكالة "سبوتنيك"عن وسائل إعلام محلية ، فقد رصد العلماء الألمان غيوما ساطعة غير عادية يسببها فيروس كورونا المستجد على حافة رئتي المصاب وتسببت هذه الظاهرة بارتباك العلماء وحيرتهم، حيث ما زال خبراء الفيروسات لا يستطيعون فهم طبيعة جينوم الفيروس.
واعتقد الخبراء في البداية أن فيروس كورونا له سلوك مشابه لفيروس السارس في جسم الإنسان، لكن النتائج أتت مخالفة لكل التوقعات.
وأشار الخبراء إلى أن الفيروس بمجرد وصوله إلى الجهاز التنفسي السفلي يخترق خلايا الرئة، فيتسبب بالتهاب شديد بسبب محاربته من قبل جهاز المناعة، ولكن بشكل مختلف وغريب تماما عما ألفه الأطباء في الالتهابات الرئوية العادية.
وقال رئيس قسم أمراض الرئة في مستشفى دوناوستوف الألماني، ميشائيل بفايفر، إنه من "المحتمل جدًا أن تتجمع كمية أقل بكثير من السوائل في الرئتين في المرحلة الأولى من فيروس كورونا المستجد، مقارنةً بالالتهاب الرئوي الكلاسيكي".
وبحسب ما نقلته وكالة "سبوتنيك"عن وسائل إعلام محلية ، فقد رصد العلماء الألمان غيوما ساطعة غير عادية يسببها فيروس كورونا المستجد على حافة رئتي المصاب وتسببت هذه الظاهرة بارتباك العلماء وحيرتهم، حيث ما زال خبراء الفيروسات لا يستطيعون فهم طبيعة جينوم الفيروس.
واعتقد الخبراء في البداية أن فيروس كورونا له سلوك مشابه لفيروس السارس في جسم الإنسان، لكن النتائج أتت مخالفة لكل التوقعات.
وأشار الخبراء إلى أن الفيروس بمجرد وصوله إلى الجهاز التنفسي السفلي يخترق خلايا الرئة، فيتسبب بالتهاب شديد بسبب محاربته من قبل جهاز المناعة، ولكن بشكل مختلف وغريب تماما عما ألفه الأطباء في الالتهابات الرئوية العادية.
وقال رئيس قسم أمراض الرئة في مستشفى دوناوستوف الألماني، ميشائيل بفايفر، إنه من "المحتمل جدًا أن تتجمع كمية أقل بكثير من السوائل في الرئتين في المرحلة الأولى من فيروس كورونا المستجد، مقارنةً بالالتهاب الرئوي الكلاسيكي".

التعليقات