بعد تشريح جثتين.. "علامة خفية" يحدثها فيروس كورونا
كشفت دراسة جديدة كيف تبدو رئتي مريض كورونا، ما دفع الخبراء إلى الادعاء أنهم اكتشفوا علامة جديدة للفيروس القاتل.
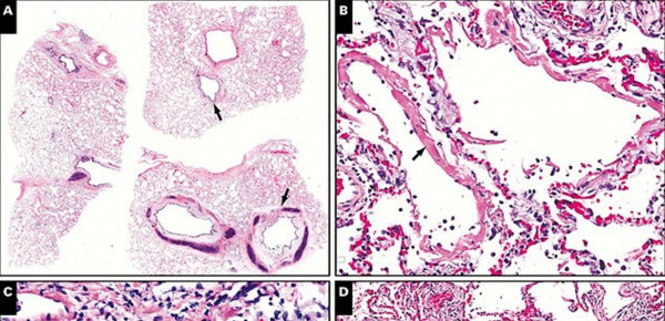
وتابع الدكتور سانجاي موخوباديا، مدير علم أمراض الرئة في عيادة كليفلاند (Cleveland Clinic)، تشريح جثتين، إحداهما تعود لرجل عمره 77 عاما من أوكلاهوما. ووجد أن داخل الرئتين مغطى بطبقة سميكة من مادة لزجة، ما تسبب في صعوبات في التنفس بحسب (لبنان 24).
وقال إنه يأمل أن يمنح البحث الأطباء نظرة ثاقبة حول الأعراض، التي يسببها الفيروس وكيف يمكنهم علاجها بالأدوية المتاحة.وطُلب من موخوباديا مراجعة النتائج، من قبل مكتب أوكلاهوما لرئيس الفحص الطبي. وقال: "في الأيام الثلاثة الماضية، تلقيت عشرين طلبا من جميع أنحاء العالم، جميع أنحاء العالم حرفيا، من أوروبا واليابان ومن جميع أنحاء الولايات المتحدة. ما نبحث عنه في عمليات التشريح هذه هو بصيص أمل في نوع من الاكتشافات التي يمكن عكسها".
ونُشرت الدراسة في المجلة الأميركية لعلم الأمراض السريرية.
وأوضح موخوباديا لـ WOIO أن هذه هي المرة الأولى التي يتم فيها نشر نتائج تشريح الجثة باللغة الإنجليزية. وأجريت واحدة من عمليات التشريح على رجل بدين يبلغ من العمر 77 عاما، عانى من ارتفاع ضغط الدم.
وظهرت على المريض أعراض لمدة 6 أيام - بما في ذلك الحمى والقشعريرة - لكنه لم ير طبيبا بشأنها، واختُبرت إصابته بفيروس كورونا، عندما مات.
وقال الدكتور موخوباديا : "فجأة أصبح ضعيفا وعانى من ضيق في التنفس، وبحلول الوقت الذي وصل فيه إلى المستشفى، كان قد أصيب بالفعل بسكتة قلبية، لذا لم يصل أبدا إلى وحدة العناية المركزة أو علاج جهاز التنفس الصناعي. لقد مات قبل ذلك، ورأينا ما يحدث في رئتي مريض مات من كورونا، دون أن يُربط بجهاز التنفس الصناعي أو يتلقى أي علاج".
وتسبب الغلاف السميك الشبيه بالطلاء، في التهاب مجرى الهواء وتلف الحويصلات الهوائية - الأكياس الهوائية المرنة في الرئتين - ما تسبب في صعوبات في التنفس.
وفي حديثه مع Cleveland.com، قال موخوباديا: "في الواقع إنه دليل على أن الفيروس نفسه يتسبب في الضرر".
وأظهر تشريح جثة رجل آخر يعاني من البدانة، أن الأمر كذلك. وعلى الرغم من تشخيص إصابته بفيروس كورونا، فإنه لم يمت منه. وتوفي بسبب الالتهاب الرئوي البكتيري الذي كان عرضة للإصابة به بسبب حالة سابقة عانى منها.
ولم يتبين وجود "الغلاف السميك" داخل رئتي المريض البالغ من العمر 42 عاما.
وتقول الدراسة: "لذا، مات هذا المريض على الأرجح مع COVID-19، وليس بسببه. توضح هذه الحالات التحديات التي يتعرّض لها أخصائيو الأمراض والمجتمع الطبي بشكل عام في تحديد سبب الوفاة لدى الأشخاص المتوفين، الذين ثبتت إصابتهم".
وقال الدكتور موخوباديا إنه يأمل أن يساعد المزيد من عمليات التشريح في تسليط الضوء على العلاج الأكثر دقة لمرضى Covid-19 الحاليين.
وتابع الدكتور سانجاي موخوباديا، مدير علم أمراض الرئة في عيادة كليفلاند (Cleveland Clinic)، تشريح جثتين، إحداهما تعود لرجل عمره 77 عاما من أوكلاهوما. ووجد أن داخل الرئتين مغطى بطبقة سميكة من مادة لزجة، ما تسبب في صعوبات في التنفس بحسب (لبنان 24).
وقال إنه يأمل أن يمنح البحث الأطباء نظرة ثاقبة حول الأعراض، التي يسببها الفيروس وكيف يمكنهم علاجها بالأدوية المتاحة.وطُلب من موخوباديا مراجعة النتائج، من قبل مكتب أوكلاهوما لرئيس الفحص الطبي. وقال: "في الأيام الثلاثة الماضية، تلقيت عشرين طلبا من جميع أنحاء العالم، جميع أنحاء العالم حرفيا، من أوروبا واليابان ومن جميع أنحاء الولايات المتحدة. ما نبحث عنه في عمليات التشريح هذه هو بصيص أمل في نوع من الاكتشافات التي يمكن عكسها".
ونُشرت الدراسة في المجلة الأميركية لعلم الأمراض السريرية.
وأوضح موخوباديا لـ WOIO أن هذه هي المرة الأولى التي يتم فيها نشر نتائج تشريح الجثة باللغة الإنجليزية. وأجريت واحدة من عمليات التشريح على رجل بدين يبلغ من العمر 77 عاما، عانى من ارتفاع ضغط الدم.
وظهرت على المريض أعراض لمدة 6 أيام - بما في ذلك الحمى والقشعريرة - لكنه لم ير طبيبا بشأنها، واختُبرت إصابته بفيروس كورونا، عندما مات.
وقال الدكتور موخوباديا : "فجأة أصبح ضعيفا وعانى من ضيق في التنفس، وبحلول الوقت الذي وصل فيه إلى المستشفى، كان قد أصيب بالفعل بسكتة قلبية، لذا لم يصل أبدا إلى وحدة العناية المركزة أو علاج جهاز التنفس الصناعي. لقد مات قبل ذلك، ورأينا ما يحدث في رئتي مريض مات من كورونا، دون أن يُربط بجهاز التنفس الصناعي أو يتلقى أي علاج".
وتسبب الغلاف السميك الشبيه بالطلاء، في التهاب مجرى الهواء وتلف الحويصلات الهوائية - الأكياس الهوائية المرنة في الرئتين - ما تسبب في صعوبات في التنفس.
وفي حديثه مع Cleveland.com، قال موخوباديا: "في الواقع إنه دليل على أن الفيروس نفسه يتسبب في الضرر".
وأظهر تشريح جثة رجل آخر يعاني من البدانة، أن الأمر كذلك. وعلى الرغم من تشخيص إصابته بفيروس كورونا، فإنه لم يمت منه. وتوفي بسبب الالتهاب الرئوي البكتيري الذي كان عرضة للإصابة به بسبب حالة سابقة عانى منها.
ولم يتبين وجود "الغلاف السميك" داخل رئتي المريض البالغ من العمر 42 عاما.
وتقول الدراسة: "لذا، مات هذا المريض على الأرجح مع COVID-19، وليس بسببه. توضح هذه الحالات التحديات التي يتعرّض لها أخصائيو الأمراض والمجتمع الطبي بشكل عام في تحديد سبب الوفاة لدى الأشخاص المتوفين، الذين ثبتت إصابتهم".
وقال الدكتور موخوباديا إنه يأمل أن يساعد المزيد من عمليات التشريح في تسليط الضوء على العلاج الأكثر دقة لمرضى Covid-19 الحاليين.

التعليقات