فريق طبي بجامعة أسيوط ينفرد بإجراء واحدة من أكبر عمليات الجراحة لإنقاذ حياة شاب
رام الله - دنيا الوطن
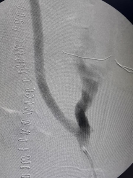
انفرد فريق طبي مشترك من قسم جراحة الأوعية الدموية بكلية الطب بجامعة أسيوط ومعهد جنوب مصر للأورام بالجامعة بإجراء أول عملية جراحية فى مصر لشاب فى الثلاثين من عمره لإزالة ورم يمتد من أعماق الحوض والأعصاب إلى البطن حتى مستوى الكليتين خلف الغشاء البريتونى ، ومسبباً انسداد بأوردة الحوض الحرقفية وانسداد تام بالوريد الأجوف السفلى حتى أوردة الكلية ومتشعباً بين شرايين الحوض والبطن مسبباً انسداد بشرايين الطرف السفلى الأيمن وملتصق بالعمود الفقري وعضلاته ، و الذي تم محاولة استئصاله من قبل حيث كان عمر المريض عامين و لكن دون جدوى ، جاء ذلك تحت رعاية الدكتور طارق الجمال رئيس الجامعة و الدكتور سامي عبد الرحمن عميد معهد جنوب مصر للأورام.
ومن جانبه أوضح الأستاذ الدكتور هشام محمود حمزة رئيس قسم جراحة الأورام ومسئول الفريق الطبي الخاص بجراحة الأورام فى العملية أن تلك النوعية من الأورام التي تنبع من الأعصاب بالعمود الفقري و الممتدة إلى الشرايين والأوردة الرئيسية تعد من العمليات الجراحية الدقيقة حيث غالبا ما يصاحب التدخل الجراحي إعاقة فى الأعصاب الحركية للأطراف السفلية او عضلات التحكم فى الإخراج او القدرة الذكورية للمريض ، مشيراً أن المريض كان يعانى من مشكلتين غاية فى الخطورة أولهما وجود قصور حاد فى الدورة الدموية للساق اليمني و الوريد الأجوف السفلي الدموية، والمشكلة الثانية هي معاناة المريض من ضعف شديد بعضلة القلب مما جعل التدخل الجراحي لاستئصال الورم أمراً فى غاية الصعوبة .
وأضاف الدكتور هشام حمزة انه تم وضع خطة التدخل الجراحي فى خطوات متتابعة حسب سير العملية والوضع الصحي للمريض أثناء التخدير ، والتي شملت استئصال الورم بدون ترك أي جزء منه ، الحفاظ على وضع الأعصاب بقدر الإمكان ، إعادة أعاده اتصال الشرايين الطرف الأيمن حيث كأم يعانى المريض من الآلام شديدة وقصور بالدورة الدموية تجعله غير قادر على الحركة ، أعاده زرع كل أورده الحوض والوريد الأجوف السفلى باستخدام وصلات صناعية مدعمه خارجياً .
و من جانبه أكد الدكتور عثمان محمود أحمد مدرس جراحة الأوعية الدموية ومسئول الفريق الطبي لجراحة الأوعية الدموية بالعملية أن العملية استغرقت 10 ساعات تم خلالها استئصال الورم كاملا ثم تم زرع شريان لأعاده الاتصال الدموي للطرف السفلى الأيمن ثم تبعها عمل تصميم من شرايين صناعية تم توصيلها في تصميم فريد وباستخدام وصلات مدعومة خارجياً حتى تسمح بسريان الدم وعدم تجلطه وتتماشى مع ضعف عضلة القلب وتم زرع هذا التصميم لإعادة الاتصال الدموي لكل أورده الحوض والوريد الأجوف السفلى حتى أوردة الكليتين ، ثم خرج المريض إلى العناية المركزة بمعهد جنوب مصر واستعاد نشاطه اليومي بعد 48 ساعة بصحة جيده .
وأضاف الدكتور عثمان ان هذه الحالة تعتبر الجراحة الأولى فى مصر والتي يتم خلالها استئصال ورم نادر كبير الحجم وإعادة الاتصال الدموي لأوردة وشرايين الحوض والبطن مما يعد أملا جديداً لتوفير هذه التدخلات لمرضى للكثير من مرضى الأورام والذي كان التدخل الجراحي لمثل تلك الحالات امراً شديد الصعوبة .
ومن جانبه أشار الدكتور خالد محمد فارس أستاذ التخدير ومسئول فريق التخدير والعناية المركزة أنه بعد مناظرة الحالة وفحص التحاليل والأشعة تبين أن المريض يعانى من تمدد وضعف فى عضله القلب وكانت كفاءة القلب 30% ومن ثم تم البدء فى تجهيز أدوية التخدير اللازمة لمثل هذه الحالات وكذلك تجهيز الأدوية اللازمة للقلب تحسبا لأي مضاعفات أثناء العملية وكذلك تم تحديد طريقة التخدير المناسبة بحيث لا تؤثر على عضله القلب ، لافتاً انه تم التنسيق مع الدكتورة رانيا بكرى رئيس بنك الدم وذلك للاستعانة بأطباء بنك الدم لتعويض المريض بما فقده من دم ، وفور خروج المريض من العملية تم نقله إلى وحده العناية المركزة ووضعه على جهاز التنفس الصناعي لمده ٢٤ ساعة ومتابعة الوظائف الحيوية وتم تدريجيا فصل الأجهزة المساعدة خلال٤٨ساعه بعد إجراء العملية.
كما أشار د عثمان ان نجاح العملية تم بفضل تضافر جهود الفريق الطبي المساعد الذي ضم كلاً الدكتور مصطفى محرزى مدرس مساعد جراحة الأوعية الدموية , والدكتور محمود مصطفى مدرس مساعد جراحة الأورام ، إلى جانب الدكتور مهند أحمد مدرس مساعد التخدير ، الدكتور معاذ محمد مدرس مساعد التخدير ، والدكتور طه عبد الرازق طبيب مقيم تخدير وعناية ، والدكتورة نورهان محمد طبيب مقيم تخدير وعناية، بالإضافة إلى طاقم الحكيمات والتمريض .
انفرد فريق طبي مشترك من قسم جراحة الأوعية الدموية بكلية الطب بجامعة أسيوط ومعهد جنوب مصر للأورام بالجامعة بإجراء أول عملية جراحية فى مصر لشاب فى الثلاثين من عمره لإزالة ورم يمتد من أعماق الحوض والأعصاب إلى البطن حتى مستوى الكليتين خلف الغشاء البريتونى ، ومسبباً انسداد بأوردة الحوض الحرقفية وانسداد تام بالوريد الأجوف السفلى حتى أوردة الكلية ومتشعباً بين شرايين الحوض والبطن مسبباً انسداد بشرايين الطرف السفلى الأيمن وملتصق بالعمود الفقري وعضلاته ، و الذي تم محاولة استئصاله من قبل حيث كان عمر المريض عامين و لكن دون جدوى ، جاء ذلك تحت رعاية الدكتور طارق الجمال رئيس الجامعة و الدكتور سامي عبد الرحمن عميد معهد جنوب مصر للأورام.
ومن جانبه أوضح الأستاذ الدكتور هشام محمود حمزة رئيس قسم جراحة الأورام ومسئول الفريق الطبي الخاص بجراحة الأورام فى العملية أن تلك النوعية من الأورام التي تنبع من الأعصاب بالعمود الفقري و الممتدة إلى الشرايين والأوردة الرئيسية تعد من العمليات الجراحية الدقيقة حيث غالبا ما يصاحب التدخل الجراحي إعاقة فى الأعصاب الحركية للأطراف السفلية او عضلات التحكم فى الإخراج او القدرة الذكورية للمريض ، مشيراً أن المريض كان يعانى من مشكلتين غاية فى الخطورة أولهما وجود قصور حاد فى الدورة الدموية للساق اليمني و الوريد الأجوف السفلي الدموية، والمشكلة الثانية هي معاناة المريض من ضعف شديد بعضلة القلب مما جعل التدخل الجراحي لاستئصال الورم أمراً فى غاية الصعوبة .
وأضاف الدكتور هشام حمزة انه تم وضع خطة التدخل الجراحي فى خطوات متتابعة حسب سير العملية والوضع الصحي للمريض أثناء التخدير ، والتي شملت استئصال الورم بدون ترك أي جزء منه ، الحفاظ على وضع الأعصاب بقدر الإمكان ، إعادة أعاده اتصال الشرايين الطرف الأيمن حيث كأم يعانى المريض من الآلام شديدة وقصور بالدورة الدموية تجعله غير قادر على الحركة ، أعاده زرع كل أورده الحوض والوريد الأجوف السفلى باستخدام وصلات صناعية مدعمه خارجياً .
و من جانبه أكد الدكتور عثمان محمود أحمد مدرس جراحة الأوعية الدموية ومسئول الفريق الطبي لجراحة الأوعية الدموية بالعملية أن العملية استغرقت 10 ساعات تم خلالها استئصال الورم كاملا ثم تم زرع شريان لأعاده الاتصال الدموي للطرف السفلى الأيمن ثم تبعها عمل تصميم من شرايين صناعية تم توصيلها في تصميم فريد وباستخدام وصلات مدعومة خارجياً حتى تسمح بسريان الدم وعدم تجلطه وتتماشى مع ضعف عضلة القلب وتم زرع هذا التصميم لإعادة الاتصال الدموي لكل أورده الحوض والوريد الأجوف السفلى حتى أوردة الكليتين ، ثم خرج المريض إلى العناية المركزة بمعهد جنوب مصر واستعاد نشاطه اليومي بعد 48 ساعة بصحة جيده .
وأضاف الدكتور عثمان ان هذه الحالة تعتبر الجراحة الأولى فى مصر والتي يتم خلالها استئصال ورم نادر كبير الحجم وإعادة الاتصال الدموي لأوردة وشرايين الحوض والبطن مما يعد أملا جديداً لتوفير هذه التدخلات لمرضى للكثير من مرضى الأورام والذي كان التدخل الجراحي لمثل تلك الحالات امراً شديد الصعوبة .
ومن جانبه أشار الدكتور خالد محمد فارس أستاذ التخدير ومسئول فريق التخدير والعناية المركزة أنه بعد مناظرة الحالة وفحص التحاليل والأشعة تبين أن المريض يعانى من تمدد وضعف فى عضله القلب وكانت كفاءة القلب 30% ومن ثم تم البدء فى تجهيز أدوية التخدير اللازمة لمثل هذه الحالات وكذلك تجهيز الأدوية اللازمة للقلب تحسبا لأي مضاعفات أثناء العملية وكذلك تم تحديد طريقة التخدير المناسبة بحيث لا تؤثر على عضله القلب ، لافتاً انه تم التنسيق مع الدكتورة رانيا بكرى رئيس بنك الدم وذلك للاستعانة بأطباء بنك الدم لتعويض المريض بما فقده من دم ، وفور خروج المريض من العملية تم نقله إلى وحده العناية المركزة ووضعه على جهاز التنفس الصناعي لمده ٢٤ ساعة ومتابعة الوظائف الحيوية وتم تدريجيا فصل الأجهزة المساعدة خلال٤٨ساعه بعد إجراء العملية.
كما أشار د عثمان ان نجاح العملية تم بفضل تضافر جهود الفريق الطبي المساعد الذي ضم كلاً الدكتور مصطفى محرزى مدرس مساعد جراحة الأوعية الدموية , والدكتور محمود مصطفى مدرس مساعد جراحة الأورام ، إلى جانب الدكتور مهند أحمد مدرس مساعد التخدير ، الدكتور معاذ محمد مدرس مساعد التخدير ، والدكتور طه عبد الرازق طبيب مقيم تخدير وعناية ، والدكتورة نورهان محمد طبيب مقيم تخدير وعناية، بالإضافة إلى طاقم الحكيمات والتمريض .

التعليقات