تحذير للمراهقين..انهيار رئتى فتاة بسبب صراخها في حفل فرقتها المفضلة
رام الله - دنيا الوطن
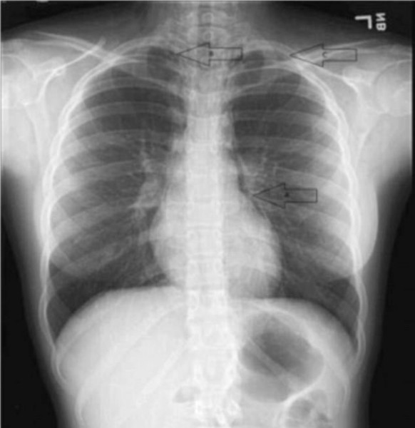
تعرضت رئة فتاة أمريكية من ولاية تكساس لضرر كبير نتيجة كثرة صراخها أثناء حضورها حفلة لفرقتها المفضلة "وان دايركشن".
وفقا لما نشرته صحيفة "ديلى ميل" البريطانية، أصيبت الفتاة البالغة من العمر 16 عاما بانهيار في رئتيها بسبب تسرب الهواء منهما خلال الغناء بعدما اكتشفت في اليوم التالى أنها لا تستطيع التنفس، فاتجهت إلى المستشفى لإجراء الفحوصات وأخبرت الأطباء بصراخها المتتالى وغنائها في الحفل.
أدت الحالة الغريبة التي أصابت الفتاة إلى تحذير الأطباء من صراخ المراهقين في الحفلات.
تعرضت رئة فتاة أمريكية من ولاية تكساس لضرر كبير نتيجة كثرة صراخها أثناء حضورها حفلة لفرقتها المفضلة "وان دايركشن".
وفقا لما نشرته صحيفة "ديلى ميل" البريطانية، أصيبت الفتاة البالغة من العمر 16 عاما بانهيار في رئتيها بسبب تسرب الهواء منهما خلال الغناء بعدما اكتشفت في اليوم التالى أنها لا تستطيع التنفس، فاتجهت إلى المستشفى لإجراء الفحوصات وأخبرت الأطباء بصراخها المتتالى وغنائها في الحفل.
أدت الحالة الغريبة التي أصابت الفتاة إلى تحذير الأطباء من صراخ المراهقين في الحفلات.


التعليقات