جنين "يمزق" جدار رحم أمه ويخرج قدميه!
رام الله - دنيا الوطن
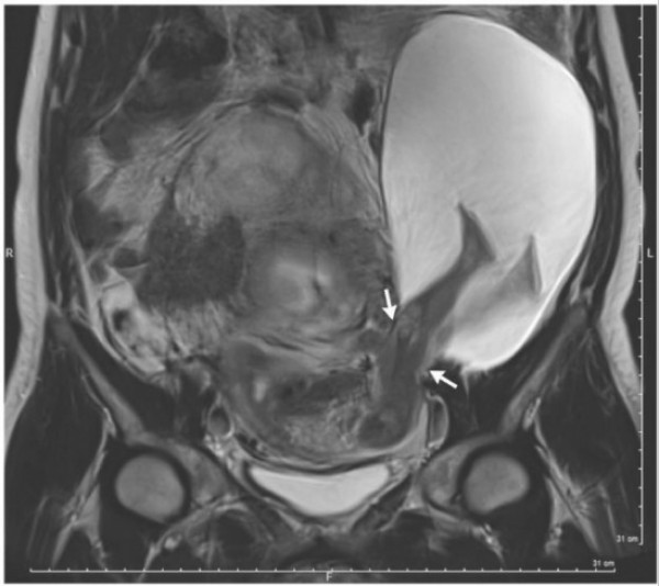
ذُهل طبيب فرنسي عندما اكتشف أنّ زوجاً من الأرجل يتدليان خارج رحم مريضته الحامل.
وذكر موقع "واشنطن بوست" أن طبيب الولادة في المركز الطبي لجامعة "أنجيه"، بيير إيمانويل بويه، ذُهل عندما اكتشف ذلك، وكانت ردة فعله الأولى هي سؤال زملائه ليتأكد من تشخيصه.
وأكد بويه أن مثل هذه الحالة نادرة جداً، إذ توجد منها 26 حالة مسجّلة فقط في تاريخ طب الولادة.
وبعد فحص جنين المرأة باستخدام تصوير الرنين المغناطيسي، أكد بويه أن "رجلي الجنين لم تتسبب في الفتق". وأضاف: "من المحتمل أن تكون الندوب نتيجة الولادات القيصرية الخمسة التي أجرتها المرأة سابقاً، أدت إلى التمزق".
وأوضح: "بقيت أجزاء من الرحم متيبّسة، بدلاً من أن تتضخّم في الحجم خلال الحمل الأخير، ما أدى إلى تمزّق جدار الرحم بطول بوصة، إذ لم يعد قادراً على التمدد".
وغالباً ما يتسبب التمزق في جدار الرحم إلى نزيف داخلي، إلا أن المريضة لم تظهر عليها أي أعراض، وذلك لأن رجلي الجنين سدّتا التمزق، ما منع فقدان الدمّ.
ولكن الطبيب لم يخف قلقه على الأم، إذ أنه من الممكن أن يتمزق رحمها بالكامل مؤدياً إلى نزيف داخلي، وفي الوقت ذاته، كانت هناك مخاطرة شديدة بالولادة قبل الميعاد، لذا اقترح على الزوجين أن يجهضا ابنهما بعد 22 أسبوعاً من الحمل، الأمر الذي رفضه الوالدان بشدة.
وبعد ثمانية أسابيع، وُلد الطفل ولادة قيصرية، وكان سليماً، ويبلغ عمره الآن ستة أشهر وهو حي وطبيعي.
ذُهل طبيب فرنسي عندما اكتشف أنّ زوجاً من الأرجل يتدليان خارج رحم مريضته الحامل.
وذكر موقع "واشنطن بوست" أن طبيب الولادة في المركز الطبي لجامعة "أنجيه"، بيير إيمانويل بويه، ذُهل عندما اكتشف ذلك، وكانت ردة فعله الأولى هي سؤال زملائه ليتأكد من تشخيصه.
وأكد بويه أن مثل هذه الحالة نادرة جداً، إذ توجد منها 26 حالة مسجّلة فقط في تاريخ طب الولادة.
وبعد فحص جنين المرأة باستخدام تصوير الرنين المغناطيسي، أكد بويه أن "رجلي الجنين لم تتسبب في الفتق". وأضاف: "من المحتمل أن تكون الندوب نتيجة الولادات القيصرية الخمسة التي أجرتها المرأة سابقاً، أدت إلى التمزق".
وأوضح: "بقيت أجزاء من الرحم متيبّسة، بدلاً من أن تتضخّم في الحجم خلال الحمل الأخير، ما أدى إلى تمزّق جدار الرحم بطول بوصة، إذ لم يعد قادراً على التمدد".
وغالباً ما يتسبب التمزق في جدار الرحم إلى نزيف داخلي، إلا أن المريضة لم تظهر عليها أي أعراض، وذلك لأن رجلي الجنين سدّتا التمزق، ما منع فقدان الدمّ.
ولكن الطبيب لم يخف قلقه على الأم، إذ أنه من الممكن أن يتمزق رحمها بالكامل مؤدياً إلى نزيف داخلي، وفي الوقت ذاته، كانت هناك مخاطرة شديدة بالولادة قبل الميعاد، لذا اقترح على الزوجين أن يجهضا ابنهما بعد 22 أسبوعاً من الحمل، الأمر الذي رفضه الوالدان بشدة.
وبعد ثمانية أسابيع، وُلد الطفل ولادة قيصرية، وكان سليماً، ويبلغ عمره الآن ستة أشهر وهو حي وطبيعي.

التعليقات