دودة طولها متر تعيش في قدم رجل أكثر من 4 سنوات
رام الله - دنيا الوطن
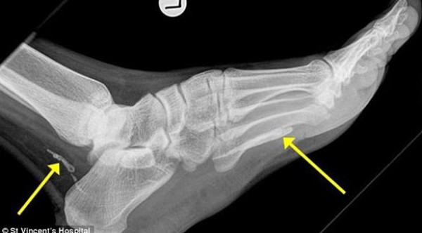
عثر أطباء على دودة طولها متر تقريباً مستقرة في قدم سوداني مهاجر مقيم في أستراليا، ظلت تتغذى على لحمه لأكثر من 4 سنوات.
شعر هذا السوداني (38 عاماً) الذي توجه إلى ملبورن للاستقرار هناك، بتورم قدمه وكاحله بعد آلام استمرت معه لعام تقريباً، فزار الطبيب، ليظهر للأخير في الأشعة السينية التي أجراها المريض وجود دودة طولها متر، بحسب صحيفة دايلي ميل البريطانية.
قام الأطباء بتحليل الدودة، فتبين أنها كانت مستقرة في منطقتي الكاحل والقدم على شكل قطعتين لولبيتين لأكثر من 4 سنوات، مشيرين إلى أنها ماتت بعدما تغذت على لحم القدم وبدأت في التحلل داخل جسم الرجل، محدثة له تورماً وقروحاً.
وأوضح الطبيب المعالج د. داربي أن الدودة التي عُثر عليها هي "دودة غينيا" وهي دودة خيطية طويلة رفيعة تعيش تحت الجلد وتسبب قروحاً مؤلمة.
يُشار إلى أن هذا النوع من الديدان موجود في جنوب السودان وإثيوبيا وغانا وتشاد، لكنها في الوقت ذاته ليس معدية، إذ لا تنتقل إلى شخص آخر.
عثر أطباء على دودة طولها متر تقريباً مستقرة في قدم سوداني مهاجر مقيم في أستراليا، ظلت تتغذى على لحمه لأكثر من 4 سنوات.
شعر هذا السوداني (38 عاماً) الذي توجه إلى ملبورن للاستقرار هناك، بتورم قدمه وكاحله بعد آلام استمرت معه لعام تقريباً، فزار الطبيب، ليظهر للأخير في الأشعة السينية التي أجراها المريض وجود دودة طولها متر، بحسب صحيفة دايلي ميل البريطانية.
قام الأطباء بتحليل الدودة، فتبين أنها كانت مستقرة في منطقتي الكاحل والقدم على شكل قطعتين لولبيتين لأكثر من 4 سنوات، مشيرين إلى أنها ماتت بعدما تغذت على لحم القدم وبدأت في التحلل داخل جسم الرجل، محدثة له تورماً وقروحاً.
وأوضح الطبيب المعالج د. داربي أن الدودة التي عُثر عليها هي "دودة غينيا" وهي دودة خيطية طويلة رفيعة تعيش تحت الجلد وتسبب قروحاً مؤلمة.
يُشار إلى أن هذا النوع من الديدان موجود في جنوب السودان وإثيوبيا وغانا وتشاد، لكنها في الوقت ذاته ليس معدية، إذ لا تنتقل إلى شخص آخر.

التعليقات