أبرزها جرو ابتلع سكيناً طولها 120 سنتيمتراً ... شاهد: معدات غريبة في بطون الحيوانات
رام الله - دنيا الوطن
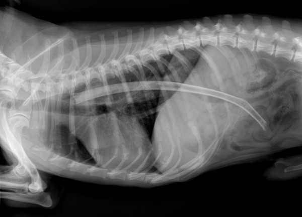
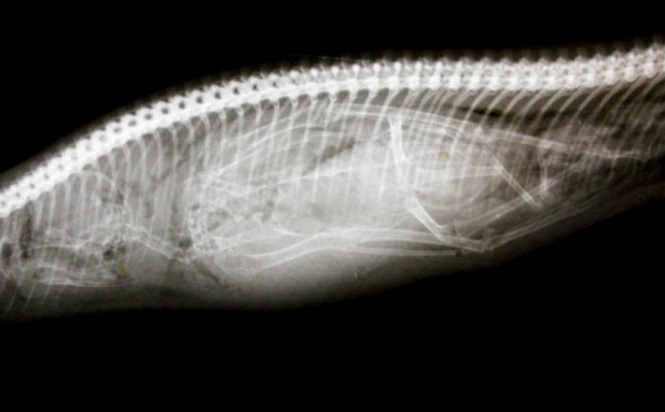
نشرت مجلة "مترو" البريطانية تقريراً مصوّراً لمجموعة من المعدات والأدوات الغريبة الموجودة في بطون الحيوانات.
وأظهرت تلك الصور واللقطات صوراً بالأشعة السينية لبطون الحيوانات، أبرزها ابتلاع جرو صغير سكيناً طولها 120 سنتيمتراً؛ ما يوازي نحو 30 بوصة.
وأظهرت تلك الصور، التي التُقطت من قِبل مجموعة من الأطباء البيطريين، كيف أن الحيوانات تبتلع أحيانا أشياءً غريبة، مثل ابتلاع كلب آخر ضلع كامل لحيوان، فيما ابتلعت قطة أذرع تحكم "بلاي ستيشن".
وقال دكتور روبرت بليز، الذي يعمل بمركز الصحة الحيوانية في ولاية نيو جيرسي: "لقد طلبنا صاحب ثور اكتشف أن الحيوان يسعل ويكح خشباً، فوجدنا بالفحوص أنه ابتلع فرعاً كاملاً من السياج المحيط بالحظيرة، وأخرجناه بأعجوبة".
كما كشف الدكتور الأمريكي عن مقابلته حالة أخرى نادرة لكلب ابتلع كرةً ضخمة، وتم تشخيصها بصورةٍ خاطئة على أنها ورمٌ سرطاني حول معدته، وبعد فتح المعدة اكتشف الأطباء أنها كرة تكوّم حولها الشعر بصورةٍ كبيرة.
المصدر : سبق


نشرت مجلة "مترو" البريطانية تقريراً مصوّراً لمجموعة من المعدات والأدوات الغريبة الموجودة في بطون الحيوانات.
وأظهرت تلك الصور واللقطات صوراً بالأشعة السينية لبطون الحيوانات، أبرزها ابتلاع جرو صغير سكيناً طولها 120 سنتيمتراً؛ ما يوازي نحو 30 بوصة.
وأظهرت تلك الصور، التي التُقطت من قِبل مجموعة من الأطباء البيطريين، كيف أن الحيوانات تبتلع أحيانا أشياءً غريبة، مثل ابتلاع كلب آخر ضلع كامل لحيوان، فيما ابتلعت قطة أذرع تحكم "بلاي ستيشن".
وقال دكتور روبرت بليز، الذي يعمل بمركز الصحة الحيوانية في ولاية نيو جيرسي: "لقد طلبنا صاحب ثور اكتشف أن الحيوان يسعل ويكح خشباً، فوجدنا بالفحوص أنه ابتلع فرعاً كاملاً من السياج المحيط بالحظيرة، وأخرجناه بأعجوبة".
كما كشف الدكتور الأمريكي عن مقابلته حالة أخرى نادرة لكلب ابتلع كرةً ضخمة، وتم تشخيصها بصورةٍ خاطئة على أنها ورمٌ سرطاني حول معدته، وبعد فتح المعدة اكتشف الأطباء أنها كرة تكوّم حولها الشعر بصورةٍ كبيرة.
المصدر : سبق




التعليقات